2025-09-01 11:22 来源:三峡宜昌网 编辑:熊鹏 人阅读
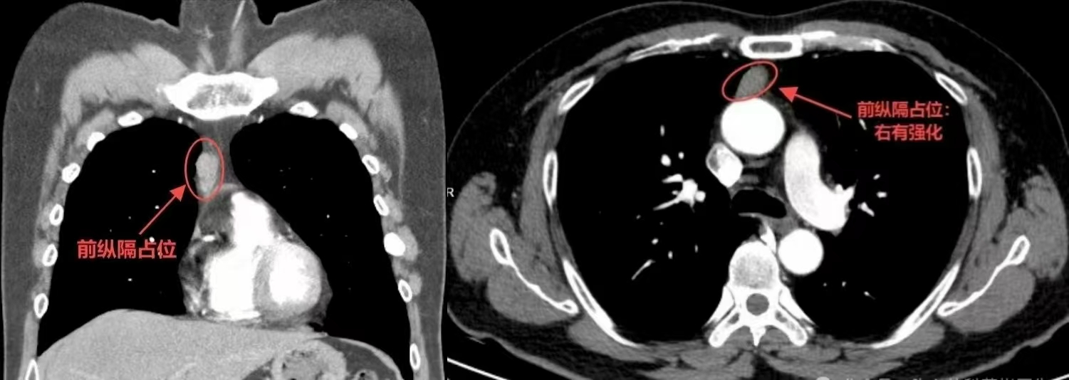
一次普通的体检,今年26的办公室职员刘先生(化姓),意外被查出胸部有个鹌鹑蛋大小的肿瘤,就是被称为胸腔“隐形杀手”的胸腺瘤。刘先生因此一度陷入焦虑,担心自己年纪轻轻,要面临开胸手术,留下难看的伤疤。为了打消刘先生的顾虑,三峡大学附属仁和医院胸心外科团队采用经剑突下“三孔式”前纵隔病变切除术,不开胸,仅用3个小孔就成功将肿瘤完整切除。

据了解,刘先生的病情并非毫无征兆。3个多月前,他突然感觉自己不太对劲,早上可以正常骑车上班,但一到傍晚,拿手机时手臂会颤抖,有时手机还会坠落。不仅如此,刘先生还发现自己的“眼皮睁不开”,最严重的时候还需要用胶带贴在眼皮上,让自己“强行睁眼”,看书时也出现重影,伏案工作时也感觉“脖子撑不住”,总想低头。“刘先生以为是自己工作压力大,身体劳累导致的,压根儿没想到是肿瘤引起。”胸心外科主任杨勇博士综合免疫指标和影像报告等各项检查分析后,认为刘先生的胸腺瘤符合肿瘤T3期特征,有侵袭性生长的趋势,必须要尽快实施手术。
手术前,杨勇跟刘先生充分沟通了手术方案,告诉他采取这种手术方式,不仅出血少、安全性高,而且创伤极小、术后疼痛轻,刘先生也彻底放下心理包袱,决定实施手术。手术当天,杨勇率领团队在患者剑突下各打了1个1.5cm及2个0.5cm的小孔,在胸腔镜下一小时内完成了胸腺及纵隔肿物微创切除手术。因手术切口较小,患者的肋间神经没有被损伤,胸廓完整性也没有被破坏。

术后,刘先生术后恢复很快,几天后就顺利出院,之前出现的眼睑下垂,视力模糊的症状都消失了。
杨勇介绍说,根据2019年《中国肿瘤登记年报》数据,2016年我国胸腺瘤发病率约为4.09/百万人(相当于100万人中约有4人发病)。从人群分布来看,它更青睐50~60岁的中老年人,男女患病风险差不多,而儿童和青少年很少“中招”。总体来说,这是一种“低调”的疾病,但中老年人体检时若发现纵隔异常,需引起重视。据了解,胸腺瘤的特有症状较少且不典型,多数为伴随症状,常见症状包括,呼吸系统症状如呼吸困难、咳嗽、咳痰等,以及胸部症状,如胸闷、胸痛等。还有部分其他症状,部分患者可伴有重症肌无力,其主要症状是肌肉容易疲劳和虚弱,可能会出现眼睑下垂等。此外,还可能出现吞咽困难、声音嘶哑、颈部/面部肿胀等症状。
对于如何预防“胸腺瘤”,医生建议:
1.定期筛查:高危人群(如重症肌无力患者)每年进行一次胸部CT。
2.健康生活方式:戒烟限酒,避免接触苯类化学物质;适度运动,增强免疫力。
3.心理调节:长期压力可能影响免疫功能,建议通过冥想、心理咨询等方式减压。
虽然胸腺瘤很少见,但它绝不是一个“善茬”。记住两个黄金法则:胸口不舒服+眼皮发麻、四肢无力=赶紧查CT。(通讯员高琦张豪)